MRI는 자석으로 구성된 장치에서 우리 몸으로 고주파를 쏘아 신체부위에 잇는 수소원자핵을 공명 시켜 조직에서 나오는 신호의 차이를 디지털 정보로 변환하여 영상화화는 장치를 말합니다.
뇌, 척수, 근골격계 질환 진단에 주로 사용되며 필요에 따라 복부, 비뇨기, 심장질환에 사용되기도 합니다.
특히, 연골 및 인대 질환의 경우는 MRI로만 진단이 가능하고 CT로는 진단이 거의 불가능합니다.
계속되는 통증 목디스크가 의심된다?
목이 결리고 아프면 가는 곳이 바로 정형외과입니다. 일반적인 정형외과들은 기본적인 엑스레이 장비가 있기 때문에 엑스레이만 촬영해 보면 현재 경추 상태를 쉽게 파악할 수 있는데요.
아니나 다를까, 목 주변이 계속 아프고 불편하더니 일자목 판정을 받았습니다.
출퇴근길에 스마트폰으로 웹툰이나 영화, 드라마, 예능을 즐겨봤는데요. 바른 자세로 앉지 않다 보니 점점 뒷목과 어깨 주변으로 통증이 심해지기 시작했고 결국 목을 돌리는 것조차 힘겨워져 회사 주변에 있는 통증의학과를 방문했습니다.

여기서도 엑스레이를 찍고 의심되는 부위에 프롤로주사를 2회 정도 받았는데 전혀 나아지는 기미가 없더라고요.
결국 선생님이 MRI를 찍어서 목디스크 여부를 확인하는 게 좋다고 하셔서 진료의뢰서를 써주셨습니다.
소개해주신 병원은 30만 원대로 MRI가 비교적 저렴한 편이긴 했지만 검색해 보니 건강관리협회가 가격대비 좋다고 하더라고요.
건강관리협회 MRI 검진 예약 및 촬영
예약은 3일 전부터 가능했는데요. 인터넷으로 신청했습니다.
신청 후 건강관리협회 예약 담당해 주시는 분이 전화를 주더라고요.
진료의뢰서가 없고 증상을 볼 때 의심이 된다면 건강관리협회 내부에 있는 의사 선생님과 상담 후 촬영을 진행하기 때문에 증상에 대해서 디테일하게 설명하시는 게 좋아요.
그 이유는 실비보험 처리 때문인데요.
건강검진의 목적으로 청구되는 치료비용은 실비보험 처리가 되지 않습니다.
그렇기 때문에 확실하게 보장을 받고 싶은 경우에는 일반 병원에서 진료의뢰서를 받고 내원하시는 게 확실하긴 해요.
경추 MRI 촬영 진행과정은?
MRI 촬영을 해보니 폐소공포증 있으면 절대 못 받을 거 같았어요.
진행과정은 먼저 탈의실로 가서 옷을 갈아입는데요. 속옷은 입고 있어도 됩니다.
촬영동의서에 서명을 하고 건네주는 귀마개를 착용하고 MRI 기계에 누우면 되는데요.
이불을 덮어주고 헤드폰 같은 걸로 귀를 한번 더 막아줍니다.
왜 이렇게 귀를 막는가 했는데 이렇게 해도 내부에서 정말 시끄럽더라고요.
촬영은 30분 정도 진행했고 내부 폭이 정말 좁고 불편한데 눈을 그냥 감고 다른 생각을 하니 그나마 마음이 편하더라고요.
MRI 촬영비용 및 CD추가 구입
MRI 촬영을 마치고 나면 CD를 추가 구입할 수 있는데요. 필수적으로 하셔야 해요.

CD는 촬영 당일 바로 수령할 수 있고 판독 내용은 한 달쯤 후 우편으로 받을 수 있었습니다.
가장 궁금한 MRI 촬영 비용은 214,800원이 나왔는데요.
CD비용이 3천 원 추가돼서 총비용은 217,800원이 청구되었습니다.

실비마다 다르지만 제 보험의 경우는 자기 부담금 만원을 제외하면 25만 원 한도 내에서 보장이 가능한데요.
실비 보험금을 청구하여 204,800원을 보험금으로 받을 수 있었습니다.
비용에 대해서 고민이 많았는데 다행스럽게 만원에 경추 MRI 촬영을 완료했습니다.
치료받고 있던 마취통증의학과 MRI CD 들고 내원
다음날 진료의뢰서를 써줬던 마취통증의학과를 다시 내원하였습니다.
원장님이 사진을 보더니 엑스레이상에서도 5-6번이 다른 곳보다 공간이 좁아서 그쪽으로 문제가 있을 것 같다고 했는데요.
MRI를 보니 확실히 5-6번 경추에 디스크팽윤 상태라고 하셨습니다.

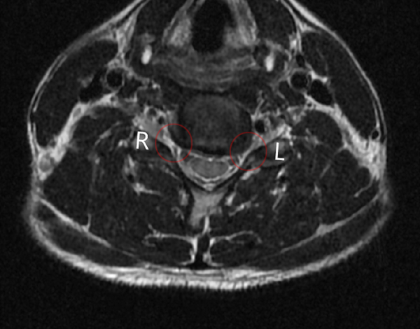
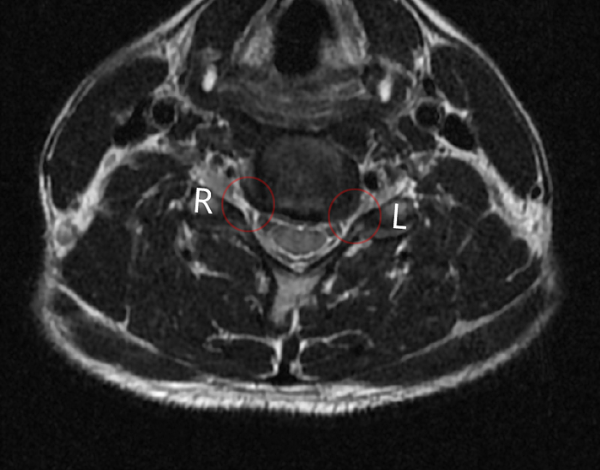
MRI는 단면 사진도 볼 수 있는데요.
L이라고 표시한 게 왼쪽입니다.
저기가 신경이 지나는 부분인데 확실히 오른쪽에 비해서 좁아진 게 확인되더라고요.
디스크가 나와서 신경을 눌러서 통증도 있고 저림 증상이 있는 게 이런 이유라니 참 신기하더라고요.
유독 왼쪽만 아픈 것도 왜 그런지 알 수 있었습니다.
신경차단주사 치료 및 목디스크 MRI 결론
아직은 나이도 젊고 비수술적인 치료로 충분히 할 수 있는 상태라고 하여 신경차단주사를 몇 차례 시행했는데요.
이전보다 통증이 많이 완화되었습니다.
다행히 심각한 상태는 아니라 스트레칭과 자세교정을 통해 회복할 수 있도록 해야 할 것 같습니다.
목디스크로 발전하기까지 목 주변으로 담이 오거나 결리는 증상이 자주 반복되었는데요.
심해지지 않도록 평소 자세관리에 신경 쓰는 게 무엇보다 중요할 것 같고 증상이 너무 심한 경우에는 가까운 병원에서 진료의뢰서를 받아서 MRI 촬영을 해보시는 방법을 추천드립니다.
실비보험만 있으면 치료비용에 대해 부담 없이 치료를 할 수 있으니 불편함을 겪고 계시다면 하루라도 빨리 병원에 가보시기 바랍니다.
'건강정보' 카테고리의 다른 글
| 본태성고혈압 30대 혈압약 엑스포지정, 리피토정 복용 후기 (0) | 2023.03.23 |
|---|---|
| 봄철 환절기 알레르기 비염 증상 및 약 추천 (0) | 2023.03.22 |
| [경희대 치과병원] 치근단절제술 치아재식술 의뢰! 어금니 메탈 주조 포스트 제거 및 재신경치료 진행과정 (0) | 2023.03.20 |
| 본태성 고혈압 30대 남성 혈압약 복용해야 할까? (0) | 2023.03.10 |
| 30대 남성 발치 즉시 임플란트 수술과정 후기 (0) | 2023.03.09 |
댓글